发布日期:2019-08-08 点击:5655
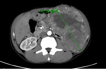
张大叔最近出现腹胀不适等症状,就诊于国内多家医院,均被告知腹腔肿块巨大,曾经做了小肠间质瘤切除术,腹腔粘连严重,手术风险极大,术中术后大出血、肺部感染、吻合口漏、呼吸衰竭、心脑血管意外等,多次告知患者失去手术机会,回家休养。患者每日寝食难安、坐卧不安、失眠、吃不下饭,每晚抱着几十斤瘤子睡觉,对生活失去了信心。后患者在家人鼓励下,慕名找到我院涂从银主任。
![%L2{BJB08`{6T{1ZV(~]%CB.png %L2{BJB08`{6T{1ZV(~]%CB.png](/files/uploadfiles/xiqu/data/upload/ueditor/20190808/5d4be6dcde7b7.png)
涂主任仔细询问病情,反复看腹部CT等检查,表示此瘤子可治。张大叔及家人瞬间泪目,“您是我们的救命恩人”,张大叔激动地说。经过全科医护人员讨论,研究方案,怎样减少并发症。2月22日,在麻醉科的全力配合下,涂主任带领团队为张大叔做了腹膜后肿瘤切除+肠粘膜松解术+左半结肠切除+直肠切除+小肠肠段切除术。术后,张大叔恢复情况较好。(综合外科 陈琳 文/图)

微信扫码
互联网医院
支付宝扫码
预约挂号
微信扫码
预约挂号
地址 :安徽省合肥市庐阳区庐江路17号
邮编 : 230001
地址 :安徽省合肥市政务文化新区天鹅湖路1号
邮编 : 230036
地址 :安徽省合肥市蜀山区环湖东路107号
邮编 : 230031
地址 :安徽省合肥市长丰县阜阳北路与龙湖路交叉路口西北角
邮编 : 231131
地址 :安徽省合肥市包河区繁华大道118号
邮编 : 230001
地址 :安徽省合肥市高新区长宁大道1700号
邮编 : 230088
皖公网安备34010302001040号Designed by MingGao